Aujourd'hui grâce à l'évolution des techniques de la dentisterie moderne, vous pouvez retrouver le sourire dont vous avez toujours rêvé.
Blog - Page 3
L'inlay en céramique est une pièce en céramique qui remplace vos vieux plombages en métal.
L'inlay en céramique reste la meilleur restauration pour remplacer vos amalgames
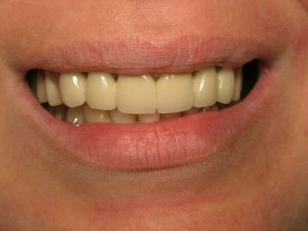
Les facettes céramiques : une technique très fiable utilisée pour un embellissement durable du sourire
Retrouver un sourire éclatant est possible grâce au blanchiment des dents
Le blanchiment n'est pas un traitement anodin. Une consultation préalable approfondie est indispensable
Affichage des articles 25-36 sur 166












